2025年10月31日     【网站无障碍】   【适老化浏览】
工作动态
当前位置:工作动态  >  院内新闻  >  开启影像检查全新时代——海南西部首台3.0T磁共振成像系统落户海南西部中心医院

开启影像检查全新时代——海南西部首台3.0T磁共振成像系统落户海南西部中心医院

发布时间:2022-07-19        发布者:毛华丰        信息来源:本站



“精准医疗,影像先行”,先进的影像设备,如同医生的眼睛,让图像更清楚,让诊断更准确!近日,海南西部中心医院新引进的飞利浦Ingenia 3.0T全数字磁共振,为医院尖端设备再添重器,将实现两台磁共振同时运行,与原有的1.5T磁共振形成优势互补,提高疾病诊疗效率,给广大海南西部地区患者提供更优质的医疗服务。



海南西部中心医院飞利浦Ingenia 3.0T全数字磁共振

都说3.0T核磁共振更好一些,那么3.0T核磁共振是不是有什么绝对优势呢?上述说的“T”指的是特斯拉,是磁场强度的单位,1.5T和3.0T代表不同的磁共振的磁场强度,数字越大则磁场强度越大。磁场越强它从身体接收的信号越多,核磁共振空间分辨率越高,扫描时间可更短,飞利浦Ingenia 3.0T的修正运动伪影技术和压缩感知技术能使图像更清晰,扫描速度更快,尤其在功能成像方面有许多新的应用,如:血管成像(MRA)、波谱成像(MRS)、弥散成像(DWI)、磁敏感成像(SWI)、扩散张量成像(DTI)等。那么对比1.5T核磁共振基础上,3.0T核磁增多哪些功能呢?

01

中枢神经系统方向

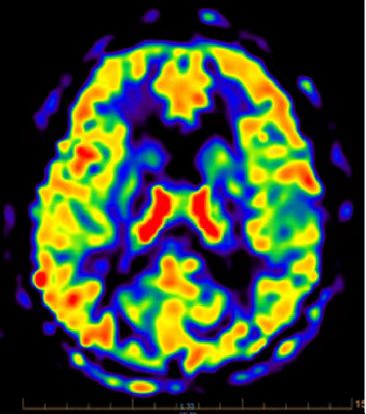
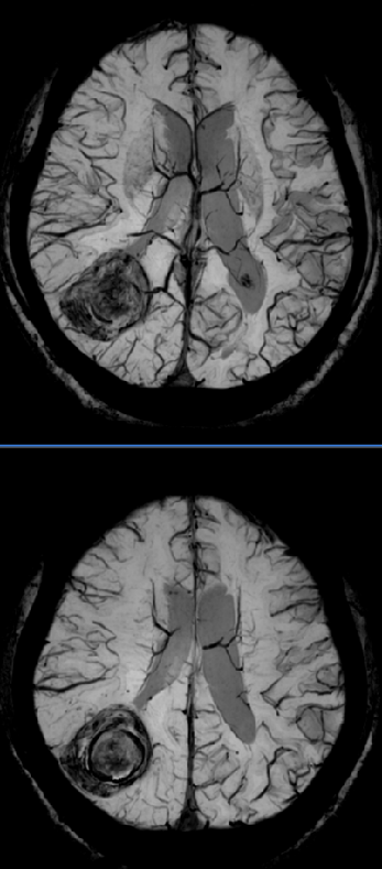
扩散张量成像(DTI),观察脑白质纤维束的走形、完整性及方向性,可用于描述脑肿瘤与邻近纤维束的关系、观察脑发育等。动脉自旋标记技术(ASL),是一种不打药的血管成像技术,主要作用是用来做磁共振灌注成像。省去了打药的过程,不打药灌注的检查就非常的安全,并且操作方便,便于随访或者复查。采用4D ASL技术,可以不打药(不增强),得到动态的类DSA效果的血管流入流出图像(即4D MRA效果),对于显示血管疾病,特别是Moyamoya、AVM(动静脉畸形)、AVF(动静脉瘘)、血管旁路手术评估、颅内肿瘤血供来源分析等非常有用。磁敏感加权成像(SWI)是一种利用组织间磁敏感性差异及血 氧水平依赖(BOLD)效应成像的磁共振新技术。SWI显示静脉结构、血液代谢产物、矿物质沉积十分敏感,SWI对微出血病灶敏感度更高,在脑肿瘤、脑血管病、脑外伤及神经变性病等中枢神经系统病变中有较高的临床应用价值和广阔的临床应用前景。 

磁共振波谱成像(MRS)是目前唯一能无创观察活体组织代谢及生化变化的技术,对脑肿瘤的诊断和鉴别诊断有很大的价值。

02

骨关节及脊柱方向

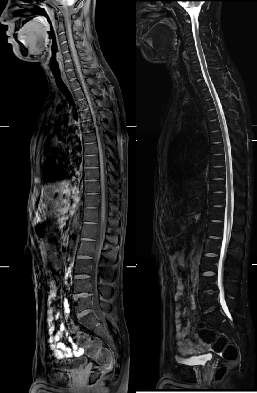
相对传统核磁,3.0T核磁可以做到全脊柱成像,对于全脊柱多发病变一目了然;在高分辨率扫描基础上,骨质结构及关节软骨、滑膜显示更加清晰,有利于骨关节疾病诊断。

03

乳腺成像方向

高分辨率图像让肿瘤与正常乳腺组织更容易分辨,通过动态增强、波普、时间信号强度曲线及ADC值评价肿瘤良恶性符合率更高,其敏感度和准确度明显高于其他检查方法。

04

胸腹部及盆腔方向

一次屏气四种对比图像扫描缩短了扫描时间,患者更易配合,高质量图像让病变诊断更准确,3D-MRCR清晰成像对于肝胆管结石患者诊断价值高,值得一提的是前列腺方向除了动态增强、时间信号曲线外,还可以波谱成像,更有利于肿瘤与增生结节鉴别。

05

心血管系统方向

3.0T核磁依然可以做到无需造影剂全身血管成像,例如上下肢动静脉成像及颅脑动静脉成像,背景组织抑制好,有利于小血管显示。心脏扫描,可以从各方向对心脏进行扫描成像,有利于心脏疾病诊断。

06

全身成像

全身成像是一种基于弥散的技术,可用于全身转移灶筛查、淋巴结转移筛查、发现明确恶性肿瘤指征寻找原发灶、血液恶性肿瘤病情监控、体检等。

01

resize,m_lfit,w_120

DTI

02

resize,m_lfit,w_120

血流灌注

03

resize,m_lfit,w_120

SWI

04

resize,m_lfit,w_120

全脊柱成像

05

resize,m_lfit,w_120

MRCP

06

resize,m_lfit,w_120

下肢MRA

07

resize,m_lfit,w_120

肾血管

resize,m_lfit,w_120
resize,m_lfit,w_120

08乳腺

resize,m_lfit,w_120

09

resize,m_lfit,w_120

DWIBS全身成像

该设备的投入使用,标志着海南西部中心医院影像检查水平上了一个新的台阶。目前也是儋州市乃至海南西部地区磁共振最先进机型,它的启用,将以最快的检查速度、最高的图像质量,进一步提升医疗服务水平,有效缩短患者等候时间,极大地提升患者就医获得感和幸福感。

海南西部中心医院放射科简介

海南西部中心医院放射科是“海南省Ⅱ级临床重点专科”,拥有一支团结协助,技术精湛的人才队伍,主任医师1名,副主任医师3名,主治医师8名,住院医师3名,主管技师9名,技师6名。

科室拥有荷兰PHILIPS公司Ingenia 光速大孔径3.0T磁共振、美国GE公司1.5TMR、日本佳能公司320排PUREViSION镨黄金CT、荷兰PHILIPS公司64排螺旋CT,以及DSA、DR、乳腺钼靶、数字胃肠机、骨密度测量检查仪等高端医学检查设备。

能够常规开展全身各部位的CT、MR平扫和增强扫描,对外伤、肿瘤、炎症、脉管性病变、先天性病变、自身免疫性病变等疾病的影像诊断有很大的价值。在海南地区率先常规开展了MRI功能成像,提高了诊断的准确性。320排镨黄金CT是海南地区第一台,其成像速度快、剂量低、图像分辨率高,对心律不齐及心动过速的患者均能成功进行冠脉CTA的检查,整个学科在海南西部区域具有很高的学术影响力和知名度。

放射科设备先进,能进行颅脑、头颈部、胸部、乳腺、胃肠、腹部、盆腔脏器、腹膜后、四肢、骨关节及软组织等部位的检查和各种三维图像的后处理,是外伤、肿瘤、炎症、血管病变、先天性病变、骨关节及软组织病变等最佳影像检查方法,是临床选择治疗和评估预后的必要手段。


科室联系电话: 23835020(医生办公室)

23835022(护士站)

图片



撰稿:毛华丰

编辑:毛华丰


下一篇:海南西部中心医院开展“双联双帮双带”乡村振兴定点帮扶活动上一篇:积极助力人才培养 谱写产康行业新篇章——海南产康专委会主题会议暨国家卫健委南培中心产康技术培训开班仪
下载专区     |     版权声明     |     法律责任     |     隐私声明     |     交通指南     |     书记信箱     |     院长信箱
Copyright © 2014 By hnxbzxyy.com All Rights Reserved.  琼ICP备15000185号  琼公网安备 46900302000013号
地 址:(那大院区)海南省儋州市那大镇伏波东路2号              导诊:0898-23835001    预约挂号:23835002
            (滨海院区)海南省儋州市白马井滨海新区滨海二道     导诊:0898-66624001    预约挂号:66624002
              投诉电话:0898-23836853